Clinic of the Thyroid

Из истории допплеровского эффекта

В основе допплеровского исследования при УЗИ применяется эффект Допплера. Что это такое? Открытие этого явления Кристианом Допплером относится к 1842 году. В его основе ― возможность определения направления и скорости движущихся волновых сред в зависимости от длины волны и частоты.

Теоретический вывод К.Допплера был подтвержден в 1850 году на природе света. Как всегда, новое достижение в науке подверглось критике. В 1952 году Йозеф Пецваль представил в Академию наук свою работу, которой он пытался опровергнуть выявленный К.Допплером эффект странными суждениями о том, что теория Допплера опубликована всего на 8 страницах и не содержит сложных математических доказательств.

В 21 веке эффект Допплера был успешно применен в ультразвуковой диагностике с целью определения кровотока в органах. В частности ― в щитовидной железе.


Значение допплеровского УЗИ щитовидной железы

Допплерография щитовидной железы является важным способом изучения её ФУНКЦИОНАЛЬНОГО состояния, а именно ― величины напряжения частей щитовидной железы (долей, перешейка, их крупных и средних сегментов, а также узлов). Допплеровское УЗИ ЩЖ проводится в двух режимах ― ЦДК (цветовое допплеровское картирование/кодирование) и ЭДК (энергетическое допплеровское картирование/кодирование), а также двумя взаимно дополняющими способами: 1) определением интенсивности внутреннего кровотока и 2) оценки скорости кровотока (пиковой систолической скорости в системах верхней и нижней щитовидных артерий).

Изучение состояния и изменений только в серой шкале (В-режим) выявляет структурные особенности (т.е. анатомическое и гистологическое устройство) состояния щитовидной железы. Но допплеровское исследование значительно дополняет диагностику, сообщая о функциональном состоянии измененных участков в железе и всего органа в целом.

Рисунок 1. Серая шкала (В-режим) ультразвуковой диагностики.


 Наверх 

Общие сведения о допплеровском УЗИ ЩЖ

Все современные ультразвуковые аппараты оснащены технической возможностью допплеровского УЗИ.
• Любое УЗИ щитовидной железы обязательно должно проводиться с допплеровской диагностикой кровотока железы. Отсутствие этой части исследования при УЗИ указывает на неполноценность диагностики.
• При УЗИ щитовидной железы врач должен выявить интенсивность кровотока и наибольшую пиковую скорость в щитовидных артериях.

Если Вам сообщают, что допплеровское исследование щитовидной железы проводится отдельно от исследования «УЗИ щитовидной железы» и его цена дополнительная, то это ― признак административной хитрости.

Не существует каких-то особых показаний к допплерографии щитовидной железы. Все состояния щитовидной железы подлежат ультразвуковой допплеровской диагностике.

При каждом УЗИ щитовидной железы показана и обязательна Допплерография. ПРЕИМУЩЕСТВА же допплерографии заключаются в:
• Оценке функционального напряжения всей железы и ее частей (в т.ч. узлов),
Выявлении признака рака узлов щитовидной железы.


Что должно быть в Протоколе УЗИ

Врач-УЗИ (сонолог) должен сообщить в документе «Протокол УЗИ ЩЖ» следующее:
Интенсивность кровотока отдельно для каждой доли и перешейка ЩЖ,
• Определять интенсивность кровотока тремя признаками: малое, умеренное (среднее) и значительное усиление кровотока,
• Для каждой доли ЩЖ ― максимальную пиковую систолическую скорость кровотока (максПССК) в конкретном числовом значении, применяя величины в см\с,
• Для узла (-ов) щитовидной железы указывать ― интенсивность кровотока (малая, умеренная, значительная), характер распределения сосудов (упорядоченное или неупорядоченное).


Васкуляризация ― что это такое?

В «Протоколах УЗИ ЩЖ» врачи часто применяют слово «васкуляризация». Эта васкуляризация, по их выражению, может быть «не измененной», «увеличенной», «уменьшенной» и пр. Что такое васкуляризация щитовидной железы?

По-латински сосуд (кровеносный) ― vas (вас). Следовательно, «васкуляризация» ― это «сосудистость». Вот врачи и пишут о сосудистости щитовидной железы. Это выражение воспринимается странно. Как-то не по-русски. Но это никто не замечает, поскольку по-латыни не так заметно и, к тому же, «васкуляризацию» используют все врачи УЗИ. Васкуляризация стала привычной… врачам.

Эта «васкуляризация» пришла в профессиональный обиход из англоязычных научных статей. В таком заимствовании не было и нет потребности, но стремление «наших» к загранице так велико, и так хочется ПИСАТЬ НАУЧНО УМНО, что вместо русских слов специалисты в данном случае стали применять эту «васкуляризацию».

Заметьте, что англичане склонны сокращать. Вместо словосочетания «щитовидная железа» (у них ― Thyroid Gland) говорящие и пишущие на английском языке врачи применяют лишь одно слово ― Thyroid. Почти также у них произошло с «васкуляризацией».

В действительности, при УЗИ врачи видят наполнение сосудов кровью, а количество сосудов существенно не меняется. Поэтому правильно писать не о васкуляризации (сосудистости), а о кровотоке.

В научных и научно-популярных изданиях от Клиники щитовидной железы доктора А.В. Ушакова вы, читатель, никогда не увидите слово «васкуляризация» применительно к описанию реальной ультразвуковой картины. Лишь в качестве подобного пояснения значения терминов для пациентов и специалистов. Грамотно писать и говорить о «кровотоке», то есть об интенсивности и скорости «кровотока» железы.


Интенсивность кровотока щитовидной железы

Кровоток в ЩЖ определяется в режиме ЦДК или ЭДК. Многие врачи применяют ЦДК, а не ЭДК, несмотря на меньшее количество искажений при ЭДК. Наша Клиника предлагает всем коллегам выполнять оценку интенсивности кровотока в ЩЖ с помощью ЭДК, а скорость крови в режиме ЦДК, так как ЦДК позволяет цветом различать артерии от вен.

Рисунок 2. Два варианта ультразвукового допплеровского режима ― ЦДК (цветовое допплеровское картирование) и ЭДК (энергетическое допплеровское картирование). Программа УЗ-аппарата показывает сосуды цветом. Красным и синим при ЦДК и алым ― при ЭДК. При ЦДК видны сосуды (артерии и вены), несущие кровь в разных направлениях). При ЭДК не видно направления течения крови, но меньше погрешностей.

Допустим, врач правильно настроил допплеровские параметры своего УЗ-аппарата (в зависимости от настроек интенсивность кровотока может оказаться разной). Врач должен раздвинуть на своем видимом поле допплеровскую карту максимально широко, охватывая всю видимую часть ЩЖ. Попытка определить интенсивность кровотока в маленьком допплеровском окошке усложнит процесс и может способствовать ошибке.

Рисунок 3. Разные настройки режима ЭДК ультразвукового допплеровского исследования. Представлена одна и та же проекция правой доли щитовидной железы. Период между снимками ― 1 минута. Слева ― с нормальными базовыми настройками (смотрите справа значения PRF), справа ― с настройками более высокой чувствительности. Видно, что при изменении настроек определяется не нормальный, а усиленный кровоток.

Специалист должен просмотреть датчиком каждую долю и перешеек ЩЖ, продвигая датчик вдоль и поперек, определяя, таким образом, количество сосудистых элементов, которые программа окрашивает в цвета. При ЭДК ― обычно в алый цвет, при ЦДК ― в два цвета ― красный и синий.

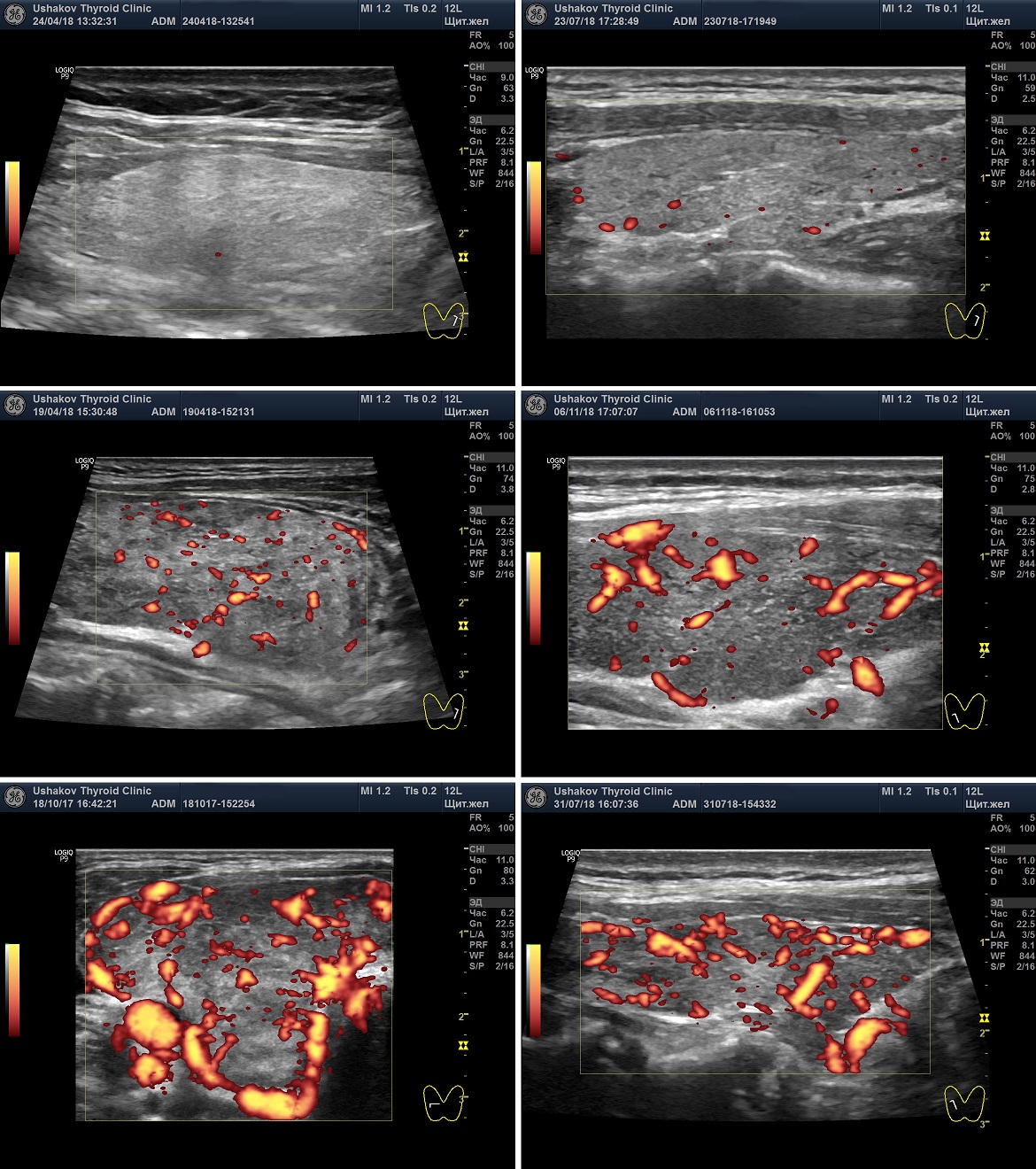
Существуют 6 вариантов интенсивности кровотока в ткани щитовидной железы:

• Ослабленный,
• Нормальный (в составе нормального – оптимальный),
• Малого усиления,
• Умеренного усиленный,
• Значительно усиленный,
• Очень значительно усиленный.

Ослабленная интенсивность кровотока ― сосудистые элементы не видны или имеется 1-2 малого диаметра.

Нормальная интенсивность кровотока ― сосудистые элементы в доле ЩЖ от 3-4 до 10, без расширения магистральных сосудов.

Оптимальная интенсивность кровотока ― сосудистые элементы в доле ЩЖ около 5-7, без расширения магистральных сосудов.

Малое усиление интенсивности кровотока ― сосудистые элементы в доле ЩЖ от 10-12 до 20-25, с расширением некоторых сосудов.

Умеренное усиление интенсивности кровотока ― сосудистые элементы в доле ЩЖ от 20-25 до 35-40, с расширением магистральных сосудов внутри и по периметру доли.

Значительное усиление интенсивности кровотока ― сосудистые элементы в доле ЩЖ более 40, с расширением многих сосудов.

Очень значительное усиление интенсивности кровотока ― почти полное заполнение щитовидной железы сосудистыми элементами.

Рисунок 4. УЗИ ― допплеровское исследование интенсивности кровотока щитовидной железы. Показаны несколько вариантов: Ослабленный кровоток, нормальный кровоток, Малое усиление кровотока, Умеренное усиление кровотока и Значительное усиление кровотока.

О чём сообщает интенсивность кровотока в ЩЖ? Это очень важный вопрос! Наши коллеги думают о том, что на кровоток влияют какие-то активные химические вещества организма и связывают это с аутоиммунным тиреоидитом (АИТ). Нигде и ни в каких изданиях по УЗИ (статьях и руководствах) специалистов разных стран, кроме нашей Клиники, вы не встретите чёткого и конкретного пояснения механизма изменения кровотока в сосудистой сети щитовидной железы!!! Из текста этих «научных» работ видно, как авторы осторожны в своих выводах (Некоторые из них пишут, что якобы усиление кровотока может быть признаком воспаления). Просто удивительно, как им в голову не приходит, что мышечный тонус сосудов прямо управляется периферической вегетативной НЕРВНОЙ СИСТЕМОЙ (пВНС)! Ведь научной медицине известно, что именно пВНС регулирует тонус сосудов (Причина также проста ― многие десятилетия во всём мире врачей не обучают знаниям о пВНС и влиянии нервной системы на деятельность органов).

Итак, величина интенсивности кровотока в щитовидной железе прямо сообщает о том, с какой интенсивностью нервная система перенапрягает части железы. Ведь часто видно, что количество сосудистых элементов (т.е. интенсивность кровотока) не одинаково в правой и левой долях и может быть разным внутри одной доли (в её крупных частях (сегментах). Эта особенность не может быть контролируема только химически, так как химические вещества одинаково распределены в крови, но именно нервные стимулы могут по-разному влиять на разные части ЩЖ. Всё это было подробно пояснено доктором А.В. Ушаковым в его справочном руководстве для врачей «Клиническая ультразвуковая диагностика доброкачественной патологии щитовидной железы» (2018).

Какой вывод следует, если при допплеровском исследовании выявлено усиление кровотока? О чём думать? Усиление кровотока (или васкуляризации) прямо сообщает об увеличении нервной стимуляции щитовидной железы. То есть свидетельствует об избыточном перенапряжении ткани железы. Такое состояние способствует истощению и затем разрушению (деструкции) клеток щитовидной железы. В ответ на гибель клеток, с током крови в ткань ЩЖ проникают иммунные клетки (лимфоциты), очищают от разрушенных элементов ткани и способствуют регенерации. Это реальность, заметная при УЗИ, известная МЕДИЦИНЕ, как науке, но исключенная и неизвестная врачам, которые, как они думают, занимаются «наукой».


Скорость кровотока

Специальный допплеровский режим позволяет измерить скорость кровотока в верхней и нижней артериях долей щитовидной железы.

Определяется пиковая скорость крови, то есть наибольшая скорость среди разных потоков внутри артерии. Дело в том, что стенки сосудов тормозят движение крови, а центральная область сосуда движется с большей скоростью. Поэтому современные аппараты УЗИ способны определить скорость разных зон в сосуде и показать наибольшую, т.е. ПИКОВУЮ скорость кровотока. При этом определяется пиковая скорость в момент прохождения пульсовой волны, создаваемой сокращением сердца ― Пиковая Систолическая Скорость Кровотока (ПССК).

Но в зависимости от места расположения метки в щитовидной артерии, имеющей изгибы, сужения (с расширениями) и ответвления, пиковая скорость может быть разной. Поэтому важно, чтобы врач не только формально выявил ПССК, но выявил максимальную ПССК. Для этого врачу требуются знания, навык и, конечно, ― время.

Наиболее удобной для измерения ПССК является верхняя щитовидная артерия в связи с более поверхностным её нахождением, а также постоянством расположения самой артерии и её передне-медиальной ветви. Даже если условия предоставляют возможность и требуют оценки ПССК в нижней щитовидной артерии, всегда требуется измерение вместе с тем ПССК верхней артерии. Такая практика сохранит преемственность в диагностике. То есть можно будет сравнить значения с предыдущими, настоящими и последующими данными.

Варианты оценки Пиковой Систолической Скорости Кровотока

(По данным Клиники щитовидной железы доктора А.В. Ушакова, 2018)

Ослабленная ПССК ― менее 20 см/с.
Нормальная ПССК ― 20-30 см/с.
Оптимальная ПССК ― 23-28 см/с.
Малое усиление ПССК ― 30-50 см/с.
Умеренное усиление ПССК ― 50-80 см/с.
Значительное усиление ПССК ― более 80 см/с,
Очень значительное усиление ПССК ― более 120 см/с.

Рисунок 5. Варианты Пиковой Систолической Скорости Кровотока (ПССК). Спектральная допплеровская диагностика кровотока щитовидной железы. Представлены основные случаи ПССК: Ослабленная, Нормальная, Малого усиления, Умеренного усиления, Значительного и Очень значительного усиления.

Если имеется усиление ПССК, то приходится судить об усиленном влиянии на ткань щитовидной железы и её сосуды со стороны периферической вегетативной нервной системы (пВНС). Увеличение ПССК может определяться при разных состояниях гормонального обмена ― эутиреозе, гипотиреозе и гипертиреозе. Это связано с ведущей ролью пВНС в деятельности щитовидной железы.

Эти значения справедливы для кровотока в сосудах узлов ЩЖ. По ПССК сосудов узлов можно судить о том, насколько активен процесс в ткани узлов щитовидной железы. Такой процесс может быть связан не только с интенсивностью образования гормонов, но и с явлениями размножения клеток (пролиферации) или их разрушения (деструкции). Всё это должен оценивать компетентный специалист и пояснять пациенту.

В Клинике щитовидной железы доктора А.В. Ушакова каждому пациенту определяется интенсивность кровотока и ПССК для долей щитовидной железы. Результаты сообщаются в «Протоколе УЗИ ЩЖ», в т.ч. распечатываются снимки долей в режиме ЭДК и со значениями ПССК.


Интенсивность кровотока узлов щитовидной железы

При описании узлов в Протоколе УЗИ врач должен сообщить об интенсивности узлового кровотока и его особенностях расположения в узле. В режиме ЦДК или ЭДК.

Кровоток узла может быть ослабленным, малым, умеренным и значительным. Эта характеристика важна для оценки скорости и течения процессов в узлах. Определение величины интенсивности кровотока узлов поможет в прогнозе изменений узлов в соответствии с их стадиями.

Рисунок. 6. Интенсивность кровотока узлов щитовидной железы. Показаны несколько вариантов интенсивности кровотока: Малой интенсивности, Умеренной интенсивности, Значительной интенсивности.

Сосуды узла могут определяться по периметру и внутри узла. Информация о том, что кровоток узла «смешанный» (то есть внутри и вокруг узла) не имеет особой клинической ценности, так как может также часто встречаться как в доброкачественных, так и в злокачественных узлах.

Рисунок. 7. Неупорядоченный кровоток узлов щитовидной железы.

Клиника щитовидной железы доктора А.В. Ушакова ввела такой признак оценки кровотока как его «упорядоченность». Под упорядоченностью кровотока узла понимается расположение сосудов в соответствии с естественным сегментарным устройством ткани узла. Упорядоченность кровотока узлов может быть в разной степени выражена. Беспорядочный кровоток (т.е. независимо от сегментов) относится к важному признаку злокачественности ткани узла. Такое беспорядочное расположение сосудов возникает при неравномерном и несегментированном прорастании сосудов вместе с образованием раковой ткани.

В завершении…

Вы ознакомились с обзором допплерографии щитовидной железы для пациентов. Врачебные особенности такой диагностики гораздо шире, имеют свои особенности и правила, которые доктор А.В. Ушаков передаёт врачам УЗИ (сонологам) во время непосредственного обучения и в своих монографиях.

Рисунок 8. Главный врач Клиники щитовидной железы, к.м.н. А.В. Ушаков проводит обучение специалистов УЗИ.